
Prompt attention to tooth resorption is important, as untreated cases can lead to tooth loss.
What is Resorption?
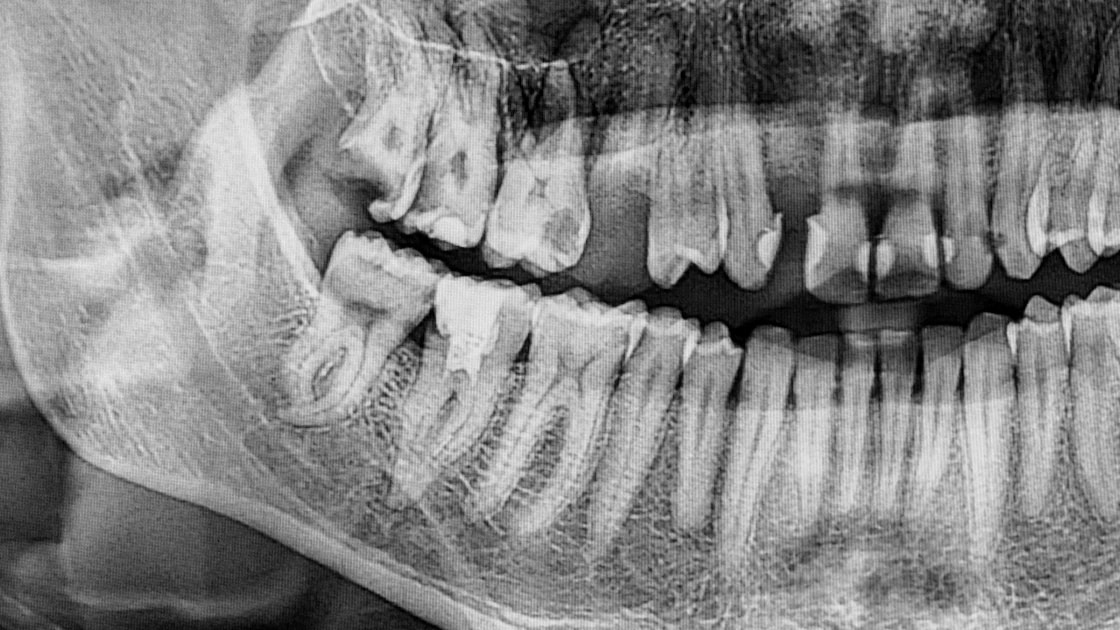
Tooth resorption is a condition where the body begins to break down and absorb the structure of a tooth—often starting from the inside (internal resorption) or the outside (external resorption). This process is abnormal and can lead to serious damage if not treated early.
Tooth resorption can be caused by:
● Trauma or injury to the tooth
● Orthodontic treatment (braces)
● Inflammation or infection
● Pressure from impacted teeth
● Unknown (idiopathic) reasons
Tooth resorption can be caused by:
● Trauma or injury to the tooth
● Orthodontic treatment (braces)
● Inflammation or infection
● Pressure from impacted teeth
● Unknown (idiopathic) reasons
Symptoms to Watch For
● Tooth discoloration
● Sensitivity or discomfort
● Irregular shape or shadow on X-rays
● Often no symptoms—detected through routine dental imaging
● Sensitivity or discomfort
● Irregular shape or shadow on X-rays
● Often no symptoms—detected through routine dental imaging
How We Treat Tooth Resorption at Riverview Endodontics
As endodontic specialists, we use advanced imaging like 3D CBCT scans to detect and evaluate the extent of resorption. Treatment may involve:
- Root canal therapy (especially for internal resorption)
- Surgical intervention
- Monitoring for slow or minimal cases
- In advanced cases, extraction may be necessary
Benefits of Resorption Treatment
- Preserve your natural tooth. Endodontic treatment for root resorption can restore the health of your tooth, allowing it to remain functional and in place.
- Minimally invasive. Many root resorption treatments, such as root canal therapy, are minimally invasive, offering greater comfort and faster recovery.
- Symptom relief. Treatment effectively alleviates symptoms like toothache and gum tenderness, improving your overall comfort.
- Support overall oral health. Addressing root resorption in one tooth helps protect the surrounding teeth, contributing to better long-term oral health.
